首页 > 医院新闻医院新闻
患者反复腹痛,以为癌症复发 医生精准诊断,真相出人意料
2025-09-19 来源:北院肛肠外科 汪立鑫

近日,烟台山医院北院肛肠外科通过精准诊断与微创手术,为一名长期受腹痛困扰的患者查明病因并实施治疗,结果发现致使患者两年间反复腹痛的“真凶”竟是一枚不起眼的枣核。

据了解,莱山区的李大爷近两年来反复出现腹痛,多次入院接受治疗,虽能暂时缓解,但病情始终反复发作。由于有着结肠癌病史,李大爷一度怀疑肿瘤复发或转移,心理负担极重,日常生活受到严重影响。

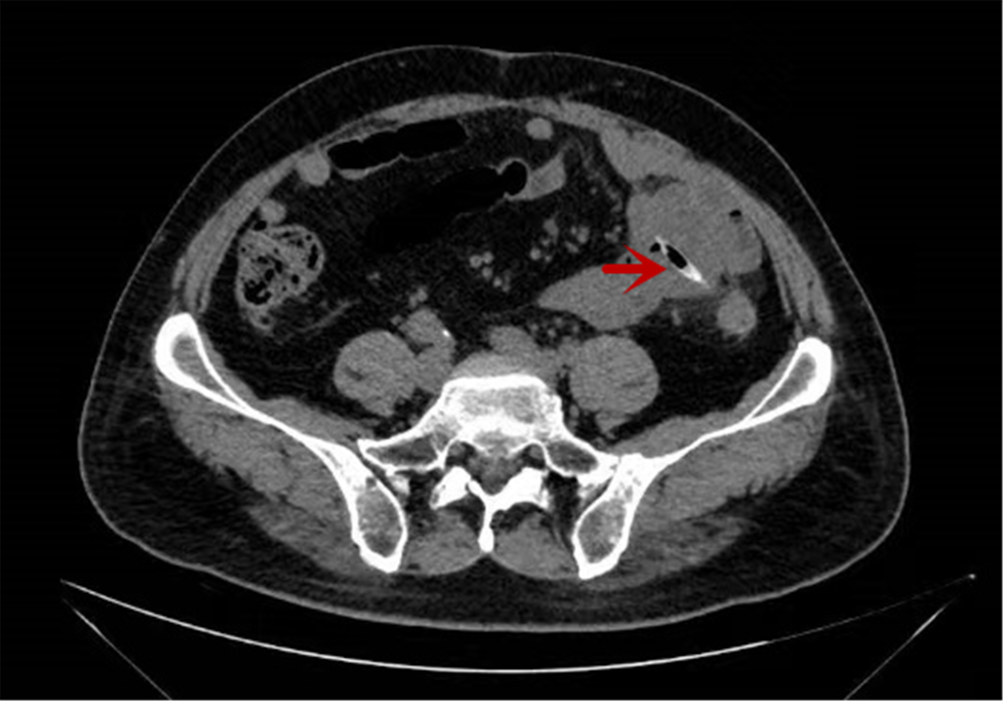
为寻求明确诊断,李大爷找到了北院肛肠外科负责人程伟才。程伟才在详细问诊和阅片中发现,其腹部CT存在异常阴影,高度怀疑腹腔内异物残留。尽管患者自述无外伤及明确异物吞食史,为彻底解除病痛,医生决定行腹腔镜探查术。

ca40064ca247a04d89703afcc96293d_副本.png

医生发现腹部CT存在异常阴影,高度怀疑腹腔内异物残留。

术中,医生惊讶地发现一枚长约2厘米的尖锐枣核已穿透患者小肠壁并进入腹腔,导致局部慢性炎症和粘连,这就是造成长期腹痛的“祸根”。手术团队顺利取出枣核,并清理了周围感染组织。

术后李大爷恢复良好,腹痛症状完全消失,其心头的“癌症疑云”也随之消散。

事后李大爷回忆,家中常煮红枣粥,自己进食较快,很可能在不知不觉中误吞了枣核。

程伟才介绍,枣核两端尖锐、质地坚硬,人体无法消化,每年都会接诊因误吞枣核刺伤肠道、引发腹膜炎甚至腹腔脓肿的病例。他提醒大家,在食用红枣或相关食品时务必细嚼慢咽、去核食用;如出现长期不明原因的身体不适,应尽早就诊,避免延误治疗。


医院公告